Prendre rendez-vous en ligneDoctolib
Contenu en pleine largeur
06 04 53 18 88contact@maxillo-facial.pro

Plan d'accès

Implants dentaires Paris et Toulouse avec le Dr SolyomImplants dentaires Paris et Toulouse avec le Dr Solyom
Implants dentaires Paris et Toulouse avec le Dr Solyom
Implants dentaires pas chers
  • Le Dr Solyom
  • Cliniques
  • Pathologies traitées
    • La chirurgie pré-implantaire
      Comment pérenniser les implants sur le long terme avec un résultat prothétique esthétique
    • L’implantologie dentaire
      Comment remplacer les dents absentes
    • La chirurgie orthognatique
      Comment harmoniser le sourire et le visage ?
      • L’ostéotomie bimaxillaire
      • La génioplastie à but esthétique et fonctionnel
      • L’ostéotomie du maxillaire ou ostéotomie de Lefort 1
      • L’ostéotomie bimaxillaire avec rotation antihoraire : la guérison du SAHOS
      • Epker ou ostéotomie mandibulaire
    • Implants zygomatiques
      Des implants sans greffe osseuse sont-ils possibles ?
    • Apnée du sommeil
      Diagnostic, traitements possibles et guérison
  • Apnée du sommeil
    • Le site de l’apnée du sommeil
    • Témoignages après chirurgie d’apnée du sommeil
  • OMSTC
  • Blog
  • English
 
  • Le Dr Solyom
  • Cliniques
  • Pathologies traitées
    • La chirurgie pré-implantaire
      Comment pérenniser les implants sur le long terme avec un résultat prothétique esthétique
    • L’implantologie dentaire
      Comment remplacer les dents absentes
    • La chirurgie orthognatique
      Comment harmoniser le sourire et le visage ?
      • L’ostéotomie bimaxillaire
      • La génioplastie à but esthétique et fonctionnel
      • L’ostéotomie du maxillaire ou ostéotomie de Lefort 1
      • L’ostéotomie bimaxillaire avec rotation antihoraire : la guérison du SAHOS
      • Epker ou ostéotomie mandibulaire
    • Implants zygomatiques
      Des implants sans greffe osseuse sont-ils possibles ?
    • Apnée du sommeil
      Diagnostic, traitements possibles et guérison
  • Apnée du sommeil
    • Le site de l’apnée du sommeil
    • Témoignages après chirurgie d’apnée du sommeil
  • OMSTC
  • Blog
  • English

Archives du jour : 14 mai 2018

Vous êtes ici :
  1. Accueil
  2. 2018
  3. mai
  4. 14

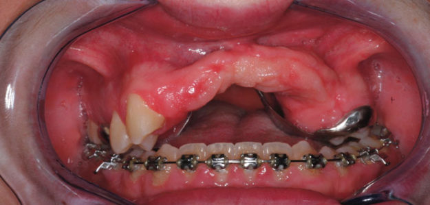
Dr Solyom - prise en charge sourire gingival

Dimension verticale de la face et prise en charge du sourire gingival

Non classéPar domguillemet14 mai 2018Laisser un commentaire

Le Dr Jean-François Tulasne - Implants dentaires - Implants zygomatiques - Implants trans-zygomatiques - Implants dentaires Paris
Implants dentaires Toulouse - Implants Paris - Chirurgie pré-implantaire - Apnée du sommeil - Chirurgie orthognatique

© maxillo-facial.pro 2026 - Crédits : Dom Guillemet webmaster freelance

Nous utilisons des cookies sur notre site web pour vous offrir la meilleure expérience possible de navigation. En cliquant sur "Ok", vous signifiez votre accord. Vous pouvez par ailleurs consulter notre Politique de Confidentialité.
RéglagesOk
Manage consent

Aperçu de confidentialité

Ce site Web utilise des cookies pour améliorer votre expérience lorsque vous naviguez sur le site Web. Parmi ceux-ci, les cookies classés comme nécessaires sont stockés sur votre navigateur car ils sont essentiels au fonctionnement des fonctionnalités de base du site Web. Nous utilisons également des cookies tiers qui nous aident à analyser et à comprendre comment vous utilisez ce site Web. Ces cookies ne seront stockés dans votre navigateur qu'avec votre consentement. Vous avez également la possibilité de désactiver ces cookies. Mais la désactivation de certains de ces cookies peut affecter votre expérience de navigation.
Nécessaires
Toujours activé
Les cookies nécessaires sont absolument essentiels au bon fonctionnement du site Web. Ces cookies assurent les fonctionnalités de base et les fonctions de sécurité du site Web, de manière anonyme.
CookieDuréeDescription
cookielawinfo-checkbox-analytics11 monthsThis cookie is set by GDPR Cookie Consent plugin. The cookie is used to store the user consent for the cookies in the category "Analytics".
cookielawinfo-checkbox-functional11 monthsThe cookie is set by GDPR cookie consent to record the user consent for the cookies in the category "Functional".
cookielawinfo-checkbox-necessary11 monthsThis cookie is set by GDPR Cookie Consent plugin. The cookies is used to store the user consent for the cookies in the category "Necessary".
cookielawinfo-checkbox-others11 monthsThis cookie is set by GDPR Cookie Consent plugin. The cookie is used to store the user consent for the cookies in the category "Other.
cookielawinfo-checkbox-performance11 monthsThis cookie is set by GDPR Cookie Consent plugin. The cookie is used to store the user consent for the cookies in the category "Performance".
viewed_cookie_policy11 monthsThe cookie is set by the GDPR Cookie Consent plugin and is used to store whether or not user has consented to the use of cookies. It does not store any personal data.
Fonctionnels
Les cookies fonctionnels aident à exécuter certaines fonctionnalités telles que le partage du contenu du site Web sur les plateformes de médias sociaux, la collecte de commentaires et d'autres fonctionnalités tierces.
Cookies de Performance
Les cookies de performance sont utilisés pour comprendre et analyser les indices de performance clés du site Web, ce qui contribue à offrir une meilleure expérience utilisateur aux visiteurs.
Analytiques
Les cookies analytiques sont utilisés pour comprendre comment les visiteurs interagissent avec le site Web. Ces cookies aident à fournir des informations sur le nombre de visiteurs, le taux de rebond, la source de trafic, etc.
Cookies publicitaires
Les cookies publicitaires sont utilisés pour fournir aux visiteurs des publicités et des campagnes marketing pertinentes. Ces cookies suivent les visiteurs sur les sites Web et collectent des informations pour fournir des publicités personnalisées.
Autres
Les autres cookies non catégorisés sont ceux qui sont en cours d'analyse et n'ont pas encore été classés dans une catégorie.
Enregistrer & appliquer