La chirurgie pré-implantaire
Votre chirurgien dentiste est le professionnel de santé qui est le plus à même de vous conseiller sur les possibilités de chirurgies pré-implantaires. Dans un grand nombre de situations cliniques il réalisera lui même la chirurgie pré-implantaire à son cabinet dentaire. Néanmoins, dans un certain nombre de cas il pourra vous orienter vers un chirurgien maxillo-facial. Si une indication chirurgicale est posée il est intéressant de prendre plusieurs avis auprès de confrères.
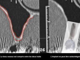
Les photos qui illustrent le texte ont pour unique objectif de vous aider à mieux comprendre les techniques utilisées. Elles correspondent chacune à une réalité qui ne peut être transposée car chaque situation clinique est différente et unique.
L’intervention chirurgicale consiste en une reconstruction osseuse du maxillaire ou de la mandibule avant la mise en place des implants dentaires par votre chirurgien.

















